施術内容・料金
施術内容
ここでは、当院の施術内容をご紹介いたします。
接骨
接骨では主に捻挫・打撲・挫傷・脱臼・骨折などの外傷性疾患に対して、治療を行っております。 また、様々な物理学的療法と手技療法等を併用し、テーピング、ギプス、各種サポーター等も用いながら、早期に怪我の回復を促すための治療を心掛けています。
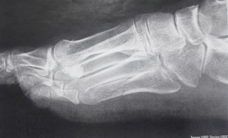
右第5中足骨粉砕骨折(80代女性)の施術一例
左肋骨々折(60代男性)の施術一例
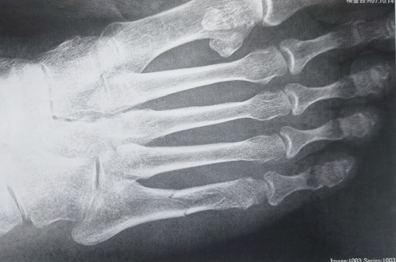
前腕骨々折(60代女性/左橈骨下端骨折)の施術一例
SONIMAGE (ソニマージュ) 513
当院にて使用している治療機の一部をご紹介致します。
【カラー超音波画像診断装置 KONICA MINOLTA SONIMAGE (ソニマージュ) 513】
こんなお話を耳にした事は有りませんか?「○×病院に行って、レントゲンを撮ってもらったら、何でもないと言われて、湿布も出して貰えなかった。」実はレントゲンの単純撮影によって齎される情報の多くは骨・関節の情報の一部が主だったものです。それ以外の組織に由来する原因が有る場合、MRIやCTと言った設備も費用負担も大きな機材を用いなければ、判らないとされて来ました。そんな中で近年、飛躍的に発展を遂げた分野が実は超音波診断装置になります。現在、当院では外傷による骨折・脱臼や軟部組織の皮下損傷の確認などに対して、病院、クリニックと同じクオリティのKONICA MINOLTA社製のカラー超音波画像診断装置SONIMAGE (ソニマージュ) 513を導入しております。
開業から暫くの20年程昔の事ですが、初めて超音波画像診断装置を導入した経緯が有りました。当時は超音波診断装置(超音波エコー)と言っても白黒アナログ機が主流の時代で、その頃としては最先端のウィンドウズ95を搭載したデスクトップPCで画像処理を行っていたのですが、残念ながら比較的浅い部位の骨折などの確認に、ようやく使える程度の情報しか得られませんでした。時が経ち、21世紀の技術革新で超音波診断装置にも進化の波が訪れ、従来のアナログ機では殆ど描画出来なかった筋肉や神経を含む皮下組織の様子や、外傷による出血部位などもカラードップラによる動画で確認できる程、鮮明な情報が得られるようになりました。
この超音波は最近では産婦人科でも胎児の顔の描画が出来る程、高度な画像を提供出来る性能が与えられ、妊娠初期~胎児期の観察と言う最も繊細な分野で長く使われて来た事からも、お判り頂けるかと思いますが、CTやレントゲンのように放射線による被爆の恐れも無く、低侵襲かつ簡単な操作で行う事が出来る事から、診療の現場では正しく大きな武器になっています。
-

-

左:血管 右:表在
「ULTRASOUND」&「LIPUS」
「伊藤超短波 ITO UST-770」

ITOが持つ2つの超音波技術「ULTRASOUND」と「LIPUS」がこの1台に融合。様々な患部に対して、適切で快適な治療を提供。
メーカーHP: https://www.medical.itolator.co.jp/product/ust-770/
こちらの機種は従来の筋肉・腱、靭帯等の身体の深部治療を行う超音波治療器「ULTRASOUND」の機能に加え「LIPUS」超音波骨折治療=低出力超音波パルス治療機としての機能を搭載した最新型の機種となります。
この「LIPUS」は英語ではLow Intensity Pulsed Ultra‐Soundの頭文字を取った呼称ですが、従来の骨折治療は、骨折部の整復・固定を行った後、骨癒合に関しては自然治癒力に任せるのが通常で、積極的に骨癒合を促進させる方法は殆ど有りませんでした。ところが骨折部に微弱な超音波を照射する事で骨の形成が促進される事が近年、判って来ました。特に「難治性骨折」といって骨癒合が、予想される一定期間を過ぎても得られない治り難い骨折に対しての有効性が認められると、2012年4月より医療保険でも、「四肢(手足を含む)の骨折で難治性骨折」と「観血的手術を行った骨折」とについて保険請求が認められるようになりました。
「難治性骨折」についての効果が立証される一方、更に新鮮な骨折に対しても骨癒合期間を約40%も短縮出来る事が更に、臨床的に実証されました。骨折が早く治れば、職場や学校への復帰、日常生活への復帰、スポーツの再開なども早期に実現出来ます。また、治療期間が短くなることは医療費の抑制にも繋がります。
このような理由からも、骨折の積極的な治療である「LIPUS」(超音波骨折治療法)が注目されています。
私が整形外科に勤務していた頃は、比較的この「LIPUS」の機械も高価な外国製で大きく
、現在の様に健康保険での請求も認められていない時代では有りましたが、入院してベッドサイドなどで装着したり、治療機本体を借し出して自宅で装着するような使い方をしていました。ようやく近年になり、機械自体も日本製で小型化と高性能化が図られ、当院では通院のままご利用になれるようになりました。使い方も骨折部位に毎日一定時間(20分)、治療用プローブを患部に当てるだけで簡単に終了致しますので、以前の様な入院や在宅で不慣れな機械の装着などの煩わしさも有りません。
勿論、低出力の超音波を使用しており、痛みや違和感を感じる事も有りませんので、ご安心の上で治療を受けて頂けます。

上越地域初、エスミス ES-4201を導入致しました。
ハイボルテージ機器は他社製品では有りますが、メジャーリーガーの大谷翔平選手も愛用するなど、スポーツ選手のみならず、その治療効果の高さから注目される機器の一つです。今回、従来より使用している超音波機器UST-770とのコンビネーション治療にも期待出来、より深部領域へのアプローチも可能なハイボルテージ機器として、今春新規発売となった伊藤超短波社製ES-4201を2台導入致しました。
当院においても、更に多くの患者さんの症状の緩和と治療範囲を広めるものと期待しています。御希望の方は受付時にお知らせ下さい。(下記はメーカーHPからの抜粋です。)
求めていたHi-Voltage(ハイボルテージ)がついに登場。
深部組織を刺激するHi-VoltageモードとHV波形を用いて筋電気刺激を行うHV-EMSモードを搭載。持ち運びに便利なコンパクトサイズでありながら、最大400Vp-pのハイパワーを実現しました。新しい電気刺激のアプローチが可能なパルスタッチ導子をはじめとする豊富なアクセサリーで、症状に合わせたきめ細かな治療が可能。バッテリー搭載で場所を選ばず治療ができるので、スポーツの現場や往診でもご活用いただけます。
Hi-Voltage
鎮痛、疼痛の軽減
単相性のツインピークパルス波形を用いることで、高い電圧での治療が可能です。極めて短い時間に連続した出力を行うことで、皮膚抵抗が低く抑えられ、高電圧(最大400Vp-p)の電気刺激を深部組織まで到達させることができます。
マルチスウィープモードを搭載
新たに搭載された「マルチスウィープモード」は、高い周波数と低い周波数を独自のアルゴリズムで変化させることで、患部を効果的に刺激することが可能です。
HV-EMS
筋萎縮改善
低下した筋力のトレーニング
HV波形を用いたEMSモードでON/OFF時間の設定(ランプアップタイム、ホールドタイム、ランプダウンタイム、オフタイム)が可能です。筋萎縮改善や低下した筋力のトレーニングなどリハビリでもご使用いただけます。
超音波治療器とのコンビネーション治療が可能
超音波治療器(UST-770、US-777)と接続して、Hi-Voltageと超音波を組み合わせたコンビネーション治療が行えます。疾患部に対して2つの刺激を同時に与えることで、それぞれの治療効果を生み出します。



スーパーライザー近赤外線レーザー治療器

スーパーライザーHA2200LE1 近赤外線レーザー治療器
○性能・操作性が向上。進化したスーパーライザー。
最高2200mWの高出力を実現
「スーパーライザー」は生体深達性の高い波長帯(0.6~1.6μm)のみを光学フィルターで取り出した光線治療にとって最も効率の良い理想的な構造となっています。
また最高2200mWの高出力を実現したことにより、生体深達性をさらに高め、より優れた治療効果を発揮します。
当院では開院当初より導入していますが、現在機種は更新しツインプローブ機による3台体制にて様々な症例の患者さんに対応しています。
特に頸部、星状神経節(ブロック)に用いる事により、ペインクリニック等専門的な医療機関で無いと行えなかった症例に対しても効果的に用いています。
【星状神経節ブロック照射療法】
星状神経節への照射は、無痛かつ無侵襲かつ、実施が容易な為、多様な患者様にも安心して施行できる治療法です。
ストレス等で緊張している交感神経を正常な状態に戻し、血行を改善することにより、多くの疾患に効果を発揮します。
【スーパーライザーの主な適応疾患】
・頸椎症・肩関節周囲炎・顎関節症・神経痛・頸肩腕症候群・胸部出口症候群・テニス肘・腱鞘炎・突発性難聴・耳鳴り・バレーリュー症候群・メニエール病・咽頭頭異常感症・不眠症・抜歯後痛・舌痛症・多汗症・更年期障害・筋緊張性頭痛・自律神経失調症・上肢血行障害・眼精疲労・アレルギー性鼻炎・花粉症・末梢性顔面神経麻痺・中斜角筋症候群・帯状疱疹・ストレス性円形脱毛症・反射性交感神経委縮症等


鍼灸治療について
「鍼」「灸」では、急性・亜急性の外傷性疾患や慢性疾患に伴う様々な症状などに、
東洋医学で用いる「鍼」と「灸(艾=もぐさ)」を用いて主に症状の改善を目指した治療を行って居ます。
特に鍼治療の場合、マッサージ等で手で触ったり揉んだりしても届かない身体の深部まで直接刺激することが出来ますので、症状と原因によっては即効性と著効が期待出来る疾患が有ります。
当院では特に日常遭遇する外傷性の疾患・運動器疾患などは勿論ですが、いわゆる肩凝り・眼精疲労や腰痛、更に椎間板ヘルニアや脊柱管狭窄症など病院での術後のリハビリにも多くの患者さんが来院されておられます。
但し鍼灸治療と言えども、全ての問題が解決する治療手段では有りません。
例えば「生活習慣に起因する症状」に関しては、生活習慣そのものを取り除く方法では有りませんので、患者さん御自身での改善しようとする努力も当然の事ながら必要です。ご自宅などで出来る簡単なストレッチングや体操等も併せてご指導致します。まずはお気軽にご相談下さい
鍼治療についての特集が放送されました。
去る平成31年2月13日と20日の2週に渡って、NHKの健康番組で鍼治療についての特集が放送されました。
- "新原因"発見! 衝撃の肩・首のこり改善SP
- 慢性痛しびれが改善!逆子も治る!?東洋の神秘「はり治療」SP
普段余り「鍼」に関心の無い視聴者の皆さんの中にも、お身体の不調を感じつつ御覧になられた方も多かったようで、放送後に当院に御来院になられた患者さんも何人かおられました。 こうした健康番組は放送から時間が経過するとともに、一過性で終わってしまうのが残念な所で有る事に加え、 テレビ番組の常では有りますが、視聴者に訴える場面を提供する為、強調したり表現が大きくなったりしがちである事から、あたかも「鍼治療」で短期間に何でも治るかのような誤解も生じ易いようで、1回~数回程度の治療回数で辞めてしまう患者さんがおられる事もまた実際のようです。最も、テレビ番組に振り回される風潮は、鍼治療に限った事では有りませんが、昨今の魚の缶詰や様々な効能を謳った食品や食材などが翌日、スーパーの店頭から消えてしまう現象と同じようです。鍼治療に限りませんが、疾病や傷病に対して根気強く健康の回復に取り組む患者さん自身の姿勢が最も大切で有り、そうした治療法は患者さん自身の治そうとする姿勢をサポートする為の手段として、お役立て頂けるように重ねてお伝え致します
鍼
-
当院で使用する鍼は、病院の手術室などでも使用されているオートクレープ(高圧蒸気滅菌器)で滅菌された、主に髪の毛と同じ程度の0.2mm程のステンレス製鍼(和鍼)を使用して、経穴(ツボ)を刺激します。また、より安全性の高い使い捨て(ディスポーザブル)のステンレス製鍼を別途、用いる事も出来ます。鍼=痛いというイメージをお持ちの方を散見しますが、日本で使用されるこの和鍼は大変細い鍼なので痛みは殆ど有りません。ただし鍼治療には「響き」と呼ばれる特有の感覚があり、これは重怠いような、ずーんとするような感覚で鍼を用いた際の効果と言われています。当院で使用する和鍼を用いた治療自体は心地良く感じる方が殆どですのでご安心下さい。また症状や疾患によっては刺鍼した鍼に通電し、末梢神経症状や疼痛の改善の為、いわゆる「電気鍼療法」として効果を高める治療法も日常的に行っております。
この他、円皮鍼、皮内鍼と言った弱い刺激を持続的・経皮的に加える目的のディスポーザブルの鍼を用いた治療も行っています。その際は数ミリ程度の大変短く小さな鍼を使いますので、殆ど刺激を感じない方もおられますが、数日間、貼り続けたままで用いる場合が多く、継続的な刺激により改善が期待される症状等に対して行っています。 -

灸

「艾」の量や数量、大きさも調整致します。ただし一般的な温熱療法器具などと同じく、低温火傷などのリスクは常にあるものと考えられますので、施術中に、もし熱いと感じましたら遠慮なくお申し出下さい。その都度温度調整を行います。この他に、スポットサーマル刺激装置として電子温灸器「バンシンプロ」、また電気加熱方式の「カートリッジ式艾」を用いた「ビワの葉電子温灸器」を用いる事によって、艾から発生する煙と温度を制御する事により、更に火傷のリスクを減らし、空気をも汚さずに快適に治療を受ける事も可能です。ご希望・ご関心の有る方はお気軽にお尋ね下さい。
こんな症状の方に
変形性関節症、腰痛(ギックリ腰)、椎間板ヘルニア、脊柱管狭窄症、坐骨神経痛、肩関節周囲炎(四十肩・五十肩)、頸肩腕症候群、頸椎捻挫(むち打ち)、頸椎症、等の運動器疾患、生理不順、生理痛、更年期障害等の婦人科疾患
その他、円形脱毛症、精神的ストレス、痔疾患、頑固な肩凝り、眼精疲労、耳鳴り、不眠症、冷え性、自律神経失調症、等々。 詳しくはお問い合わせ下さい。
「美容鍼+トータルコース」開設の御案内
当院にても「美容鍼」のお問い合わせを伺う機会が増えて参りました。最近では女性ばかりでは無く、男性からのご要望も承っております。
この度、美容鍼による施術に加えて、従来より医療機器として扱う機材が「美容分野」で用いる機材と共通している部分も有る事から大幅にリニューアルし、新規に「サーマルフラクショナル」と「マイクロカレント(微弱電流)」を中心とした「美容トータルコース」の設定を行いました。
※「マイクロカレント(微弱電流)」は美容分野でも大変注目されており、文字通り微弱な電流が皮膚に働きかけることで、コラーゲンとエラスチンの生成を促進します。これらは肌のハリと弾力を保つために必要な成分で、その結果、肌は若々しさを取り戻し、しわやたるみが改善されます。
(マイクロカレントでは、グローブ型導子を使用したハンドマッサージによる施術となります。)
※「サーマルフラクショナル」は、ラジオ波を応用し、肌にハリと潤いを与える施術のことです。
サーマルフラクショナルにより、コラーゲン生成を促すだけでなく、エラスチン繊維を増やす効果もあるとされています。エラスチン繊維は別名「弾性繊維」と呼ばれ、心臓や動脈など弾力性の高い臓器に多く含まれています。
尚、一般的なラジオ波はレーザーを面状に照射するのに対し、「サーマルフラクショナル」では、点状に照射するため、肌にかかる負担が少ないのも魅力です。ハリが出るとそのぶん肌が引き締まるので、年齢サインが気になる方にもおすすめできます。
また「サーマルフラクショナル」は肌表面への刺激を抑えることで痛みを低減しているので、施術中は、機器が顔に軽く触れた際にほんのりと熱を感じるものの、ほとんど痛みはありません。
効果①顔・身体の輪郭をすっきりさせる。
高周波を点状に照射することで、肌深部で熱エネルギーを発生させます。これが体を温め、全身の血流は上がり、リンパの流れも促され体の代謝が高まります。
効果②肌本来の美しさを取り戻す。
コラーゲン生成により肌は透明感を取り戻し、エラスチン繊維が増えることで弾力・ハリを取り戻すことができます。
効果③エイジングケア。
年齢を重ねるごとにシワが増え、皮膚がたるんでいく原因 の一つコラーゲン不足を補います。
※最新機器の「サーマルフラクショナル」については、安全性の為、1回/1週間の限定使用となります。
~具体的なコース内容は以下の7つのコースになります。~
※今回、開設記念価格としてお得な価格設定(コース3.4)も設けました。
※こちらの酸素カプセル利用は980円/1時間のサービス価格と致します。(無料回サービス無し)
コース1.「美容鍼+サーマルフラクショナル」
(\1,480+\980) \2,460美容鍼の効果に加えて、美容業界で注目の「サーマルフラクショナル」による施術を行います。
コース2. 「美容鍼+マイクロカレント(微弱電流)」
(\1,480+\980) \2,460美容鍼灸の効果に加えて、「マイクロカレント(微弱電流)」による美肌効果を目的に施術を行います。
コース3.「美容鍼+サーマルフラクショナル+酸素カプセル」
(\1480+\980+\980)\3440 →\2,980
1.の施術に加えて高圧酸素カプセルによる美肌効果を合わせたコースです。
コース4.「美容鍼+サーマルフラクショナル+マイクロカレント(微弱電流)」(\1480+\980+\980)\3440 →\2,980
1.の施術に加えてマイクロカレント(微弱電流)による美肌効果を目的に施術を行います。
コース 5.「美容鍼+酸素カプセル」(\1,480+\980)\2,460
コース6.「サーマルフラクショナル+マイクロカレント(微弱電流)」(\980+\980)\1,960
コース7.「酸素カプセル+マイクロカレント(微弱電流)」
(\980+\980)\1,960
「美容鍼」で用いる鍼は通常の鍼治療用の鍼よりも細く短く、比較的簡単に用いることが出来まして、「安全性の高いディスポーザブルの鍼」を用います。
通常メーカー小売価格100本入り/箱1,050円の鍼をご購入頂き、およそ2~3回の使用分として用います。今回、当院独自の美容向けお薦めメニューとして「高圧酸素カプセル」の組み合わせをコースに設定。
こちらも近年、高画質テレビの隆盛により女優さんやモデル等を生業とされるご職業の方の中には、「美肌効果」と「アンチエイジング」の為、既に自宅等に設置し日常生活のルーティンに取り入れられている方も多いようです。
更に、この度リニューアル記念と致しまして、上記各コースをご利用の皆様もれなく、医療用ウォーターマッサージ機「アクアタイザー」による「全身リラクゼーションコース10分間無料体験サービス」も併せて行っています。お気軽にお問い合わせ下さい。


当院で「サーマルフラクショナル」をお奨めする理由として、HIFU(ハイフ)による健康被害について。
~消費者庁HPより~
HIFU(高密度焦点式超音波)施術による健康被害にご注意ください
経済産業省は、一部のエステサロンにおけるHIFUの施術による健康被害に関する消費者安全調査委員会の事故等原因調査報告書を受け、エステティック業界団体と協力し、関係事業者に対しHIFU施術の危険性について注意喚起をいたします。
消費者安全調査委員会は、令和5年3月29日、「消費者安全法第23条第1項の規定に基づく事故等原因調査報告書」を公表しました。報告書では、経済産業大臣への意見として、HIFU施術は人体に危害を及ぼすリスクが高い施術であり、施術者が法規制で限定されるのを待つことなく、エステティック業界に対して早急かつ広範に注意喚起を行う必要があることについて指摘されています。
これを受け、経済産業省では、エステティック関連団体と協力し、関係事業者に対しHIFU施術の危険性について注意喚起をいたします。
~HIFU(ハイフ)とは~
ハイフは肌に超音波を照射して、熱エネルギーを皮膚の内部に発生させる施術です。肌の内部に負荷をかけ、回復する過程でコラーゲンを生成させます。
サーマルフラクショナルと比べて、肌への負担が大きいのが特徴です。出力や機器によって違いはありますが、施術中に痛みを感じることもあります。痛みの感じ方は個人差がありますが骨に響く、チクチクなど表現されることが多いようです。
~サーマルフラクショナルとは~
次世代のハイフ(HIFU)として注目されているサーマルフラクショナルは、
ラジオ波(RF)を活用しています。ラジオ波とは、高周波の電磁波を照射して、体内に熱を発生させる施術です。一般的にラジオ波は美容機器のハンドピース部分から面状に照射されます。当然、ハンドピースが直接肌に触れる部分(肌表面)の負担は大きくなります。
これを解決したのがサーマルフラクショナルです。針状にラジオ波を照射し、肌の内側で熱エネルギーが広がります。つまり肌表面の負担は小さく、深部までのケアが可能です。加えて、針状に照射するため気になる箇所にピンポイントで施術できるのも大きな特徴。目元のたるみやほうれい線などフェイシャルの施術として人気なのもうなずけます。
サーマルフラクショナルの大きなメリットとして痛みや赤み、副作用などのリスクがほとんど無いということがあげられます。
「美容鍼のエビデンス(科学的根拠)について」
美容鍼にはどのような効果が有るのか?と言う質問に対して、 大きく二つの効果が示されていますので以下に御紹介させて頂きます。
1.経皮吸収の促進
皮膚のバリア機能を果たしている「角質層」により、残念ながら高価な美容液を塗っても、実は殆ど吸収される事は有りません。美容鍼灸による鍼を用いて皮膚に微細な穴を開けることにより、物質が「角質層」のバリアを破って体内に侵入する経路が作られ、物質の経皮吸収率が最大で10000倍近くにまで上昇する事が調査研究により実証されています。
尚、鍼によって開けられた微細な穴は、皮膚の持つ自己修復機能の為に、数時間と言う短時間の内に塞がれ、感染症からの感染を防ぎます。
2.コラーゲン産生の誘発
皮膚への刺鍼による真皮層に至る微小外傷(マイクロトラウマ)により、
「創傷治癒反応」と呼ばれる生体反応を引き起こし、創傷を治そうとする過程において古くなって配列が乱れたコラーゲンが破壊され、新しい配列のコラーゲンの産生が促されます。数ヶ月の後、新しいコラーゲンとエラスチンによる「細胞外マトリックス」が構築されると、しわ・傷跡等の美容上の問題を改善し、皮膚に厚みをもたらします。
ESPRIT PG-1601導入致しました。
主に鍼治療用の機材として、8種類の治療モードを有する6チャンネルの治療機器になります。
今回、こちらの機種の選定理由として、鍼以外にもゲルパッド導子も使用可能な事に加え、マイクロカレント機能搭載により、鍼電極にマイクロカレント治療を組み合わせた治療が行える事に注目致しました。最近、利用者の皆さんが増えている「美容鍼」にも用いる事が出来、グローブ型導子以外にもマイクロカレントの効果を提供出来る新たな手法として採用致しました。
「美容鍼」での御利用の場合は設定されたコース内にて、御利用が可能ですので、コースメニューにて御確認下さい。
腰部低減圧治療
-
腰部捻挫、急性腰痛等に対して「欧米発 最新腰痛治療 腰部低減圧治療」最新型プロテックⅢを採用しています。このプロテックは侍ジャパンWBCの小久保 裕紀前監督が福岡ソフトバンクホークス選手時代に、腰椎椎間板ヘルニアの治療用として用いた事が数年前にテレビ番組で紹介され、一躍話題になりました。
-

(以下、番組紹介記事より一部抜粋)
「椎間板ヘルニアで一時戦線離脱した福岡ソフトバンクホークス・小久保裕紀選手はいま話題の最新治療器を使ってヘルニアを克服した人の一人。この最新腰痛治療器「プロテックⅢ」をお笑い芸人のアンガールズのうち、腰痛持ちの田中が試すと痛みが楽になったとコメントした。このマシンは腰を伸ばしながら様々な運動療法ができ筋力を強化することで腰痛解消に高い効果が得られるという。」
アカルイ☆ミライTBSテレビ2012.9.16 当院では初号機より採用し既に25年以上、治療実績を重ねています。 (以下、プロテックホームページ https://www.protec-md.com/より抜粋)
世界の腰痛治療は強制牽引から腰部低減圧治療へ

~有効性が認められた治療~ 米国医療政策研究所(AHCPR)が作成した『成人の急性腰痛治療ガイドライン』の中では、強制牽引を含めた一般的に広く行われているほとんどの腰痛治療法に科学的根拠となる裏付けがないとされています。 その中で、効果的であることが証明され、現代の腰痛治療の主流として、脊椎回旋運動を合わせた脊椎マニピュレーション(脊椎MA)を強く推奨しています。 ただし、脊椎MAを行えるのは急性腰痛発症後、激しい痛みの治まる数日後になることから、患者さんにとって、その期間が辛いことは想像に難くありません。 そこで『間をおかず筋緊張と傷みを軽減』させて『脊椎MAを施す』という効果を追求した治療器。それが腰部低減圧治療の腰痛治療器「プロテック」です。
主な効能として次のような効果が確認されています。
- 血流量が増加し、皮膚温度上昇をもたらし筋肉疲労を回復させます。(Dr.Kageyama他)
- 血流量の促進は、発痛・疼痛物質の生成を抑制し筋肉痛を緩和する。(Dr.Moritani他)
- 筋緊張緩和が筋電図上で確認されている。(Dr.Vries他)
- 可動域(柔軟性)に著明な改善がみられた。(Dr.Bandy 他)
- 筋紡錘の各筋肉に作用する反応をスムーズに促し、筋断裂を防止する。(Dr.Mortimer他)
高気圧酸素カプセル療法(1.35気圧機採用)も取扱っております!
当院では、様々なメディアでも取り上げられるなど注目度の高い「高気圧酸素カプセル療法」も行っております。 オリンピックなどでの活躍が目覚ましい、女子バレーボール、水泳、柔道などの日本代表チームや、野球やサッカーなどのプロスポーツ選手が利用している事で話題の、「高気圧酸素カプセル療法」は特に外傷などの早期回復の一環として、また疲労対策、精神科疾患、その他美肌を目指す女性、アンチエイジングを目的とされる高齢者の皆さんや、学習効果を高めたい受験生などにも効果が期待されています。御希望の場合、御予約も承っており御紹介特典(1回無料)も有りますので、遠慮なくお問い合わせ下さい。
高気圧酸素カプセル療法(1.35気圧機採用)も取扱っております!
高気圧酸素カプセル療法とは?
まず体に取り込まれる酸素には、大きく2種類あります。
-
「結合型酸素」
こちらは通常の呼吸や酸素発生器などで取り込み可能な酸素で、血液中のヘモグロビンと「結合」し体内に運ばれる酸素の事です。
サイズが大きく毛細血管を通り難くヘモグロビンの量より多く運ぶことが出来ません。現代は、ストレスや酸素濃度低下、肺機能低下により酸素不足になりがちです。 -
「溶解型酸素」
高気圧環境でより多く取り込み可能な酸素で、血液や体液に溶け込むサイズの小さい(5ミクロン)の酸素。毛細血管を通り易く結合型酸素と比べ極少量しか存在しません。 通常の呼吸や酸素吸入だけでは溶解型酸素を増やすことは難しいとされています。 そこで、「ヘンリーの法則」={液体に溶解する気体の量は気圧に比例して増える}を応用して開発されたのが「高気圧酸素カプセル」です。
カプセル内の気圧が高ければ高いほど溶解型酸素が増えることになります。 当院で採用しているカプセルでは1.35気圧まで気圧を高める事が出来、新開発の「高加圧O2ポンプ」によりカプセル内の酸素濃度を21%⇒約30%に上げの高濃度酸素を吸入することにより結合型酸素も同時に増やします。 こうして不足に陥った全身の細胞に十分な酸素を補給します。

酸素カプセル アジャストオーツー アスリート
酸素カプセルの誤報道について。
令和6年4月12日付けの速報にて酸素カプセルを利用した男性と施設で働く女性が、
意識不明と発表され、広く報道されましたが、
後日、4月14日付けの続報では下記のように訂正されています。
「宇都宮市田野町のトレーニング施設で12日、低圧室を利用していた競輪選手と施設関係者女性の2人が意識を失い1人が意識不明となっている事故で、施設のオーナー男性が13日、下野新聞社の取材に応じ、原因について「(機械の)数値の設定ミスではないか」との見解を示した。低圧室は人工的に気圧を低い状態にすることで高地トレーニングと同等の効果があると説明。利用時に設定を誤った可能性があるとみられる。」
従来の酸素カプセルは「高圧」にして、「酸素を体に沢山取り込む事」を目的とした
装置ですので、報道に有る「低圧」環境を提供する機能は有りません。
また併せて、酸素カプセルの有効性に関する誤った報道も散見されましたが、2008年 北京オリンピックでは、酸素カプセルが疲労回復目的に使用され、2012年 ロンドンオリンピックでは、マルチ・サポートハウスへの酸素カプセルの持ち込みが許可されるなど、日本代表ナショナルチームでの使用も併せて行われ、有効性については確立されているものと考えています。
参考)https://www.shinshu-u.ac.jp/faculty/textiles/db/seeds/descente26_02_ishihara.pdf
骨密度を測ってみませんか?
骨密度測定装置が新しくなりました。
当院では超音波骨密度測定も行っていましたが、この度機種入れ替えにて 超音波骨密度測定装置「イトー超短波OSTEO pro スマート」を導入致しました。 従来機では手動式ハンドルにての圧着操作が全自動方式なり、更に簡単便利になりました。
当院では踵の骨に超音波を当てて骨密度を測定しますので(Quantitative Ultrasound法)、いわゆる放射線被爆のリスクも無く安全です。時間も1分程度で終了しますので、とても簡単です。 測定結果はプリントして患者さんにお渡ししますが、骨粗鬆症の疑い等で、必要で有れば提携医療機関に紹介状もお出し致します。お気軽にお問い合わせ下さい。
治療回数について
2013年に国民栄誉賞を愛弟子とも言える松井秀樹氏と共に受賞した、読売巨人軍終身名誉監督の長嶋茂雄氏を御存知でしょうか。長嶋さんは2004年3月に脳梗塞で倒れ右半身麻痺と言語障害になられましたが、その後の驚異的な回復ぶりをテレビ等でご覧になった方も多いのでは無いでしょうか? 実際、長嶋さんのリハビリは午前と午後の2時間ずつの運動に加え言語聴覚士による指導メニューをほぼ毎日繰り返すと言う厳しいものと思われますが、10年以上続けられるリハビリの日々で休んだのは、風邪をひいた日と大雪で走る事が出来なかった2日程度との事も広く報道されている所です。勿論、専属のトレーナーを常時帯同させて、複数の専門家の指導を受けながらと言うのは特別な事かもしれませんが、毎日続ける、即ち「継続は力なり」を実践される姿は称賛に値するものと思います。
当院でも御来院される患者さんの中で症状が改善して行く姿を見ることが出来るのは、時々、あるいは思い出した頃に通院される方では無く、やはり長嶋さんと同様に「継続」される方が多い事は確かなようです。
また時折尋ねられますが、保険診療上、請求が出来る回数は1日1回になりますが、症状が重い・あるいは早期に治癒を目指したいと御希望される患者さんに付きましては、自由診療扱いとして2回目の治療(リハビリ)を実費負担にて対応致しております。実際に掛かる金額は(メニューにもよりますが)、比較的低額(数百円程度~)の方が殆どとなっております。御希望の方は御来院の際にその旨お申し出下さい。
コンディショニング【conditioning】の勧め
2020東京オリンピック大会、2021北京オリンピック大会など、最近行われた大きなスポーツイベントで活躍目覚ましい選手の皆さんを、陰ながら支えるトレーナー活動に、私達、柔道整復師、鍼灸師の仲間が従事しています。
一例として、2021北京オリンピック大会においてジャンプ競技ノーマルヒル金メダルラージヒル銀メダルを獲得した「小林陵侑選手」の記事がニュースでも配信されていました。
この他にも非常に多くのアスリートの皆さんが全国の接骨院、鍼灸院のサポートの元に競技活動を行っています。
当院においても勿論、スポーツでの負傷や不具合を来した患者さんのサポートを行っていますが、 スポーツ番組や健康情報番組等で耳にする「コンディショニング」と言う言葉を御存知でしょうか?
三省堂大辞林 第三版には、コンディショニング【conditioning】について下記のように記されています。
最近、スポーツ番組や健康情報番組等で耳にする「コンディショニング」と言う言葉を御存知でしょうか? 三省堂大辞林 第三版には、コンディショニング【conditioning】について下記のように記されています。
① 調整。調節。体調や環境などをととのえること。 ( ②〚心〛 条件づけ。)
日常生活の中でも、何気無く「コンディションが悪い」とか、シャンプーでの洗髪後に使う「コンディショナー」と言った品物の呼称等にも、同じ単語から派生した言葉が用いられています。
当院では主に傷病等で不調に陥った運動機能の改善や、更なるパフォーマンスアップの為、この「コンディショニング」【conditioning】と言う考え方を取り入れています。 特に若年層の中高校生世代で、運動部に所属する子供達とその指導者・保護者の皆さんには、覚えておいて頂きたいと思いますが、大きな大会の直前に駆け込んで来られる患者さんの中には、怪我や不調を抱えたまま数週間から数カ月も経過しているようなケースも稀では有りません。 そのような場合、他の医療機関を経て来院されるケースも有りますが、充分な治療期間が確保出来ない事もしばしば有ります。
少しでも「おかしくなりそうだな?」と感じたら、早めの受診と適切な処置に加え、常日頃から「コンディショニング」【conditioning】の概念を取り入れ、試合などの後も継続的に行う事により、より良い成績やパフォーマンスを目指す事に繋がると考えています。
新型ドクターメドマー DM-4S(P)導入。
「マッサージ性能と扱いやすさを追求した新しいエアマッサージ器です。
スポーツ選手の要望から生まれたブーストモードを追加、4 種類のマッサージモードの選択が可能。」
外傷に伴うむくみ(浮腫)や、血流の改善、筋肉の疲労に対するアプローチとして、エアバッグ式の新型メドマーを導入致しました。
また主に立ち仕事等でのリンパ液の流れは、午後から夕方以降に下肢に増加します。
様々な原因によりなかなか改善しない、こうした症状に対して、
ウェーブモード 約55秒
スクイーズモード 約39秒
ハイパーモード 約24秒
ブーストモード 約60秒
この4つのモードによる自動加圧マッサージとタイマーによる制御で、お手軽に利用出来ます。ご希望の方は受付の際にお知らせ下さい。
フットマッサージ機「ファイテンソラーチ」
~まるで手もみのような心地よさ 新発想のマッサージで美しい足へ~
立ち仕事が多い、足が疲れやすいすべての現代人に。ソラーチは従来のただ揉むだけのマッサージとは全く異なるファイテン式「中足骨マッサージ」の手技を忠実に再現。現代人の足に失われたアーチを整え疲れにくい足へと導くほか、足の疲れをほぐします。

-
POINT 1
足裏のアーチを整え、負担を軽減。

足裏の筋肉を伸ばしてほぐし、アーチを整えます。
足裏からの衝撃を吸収・分散し、疲れにくい足へ導きます。 -
POINT 2
インナーマッスルをほぐし、足の疲れを解消。

中足骨をマッサージすることで、中足骨につながるインナーマッスルまでほぐし、足に蓄積した疲れを解きほぐします。
当院、待合室にて無料にてご使用出来ます。ご自由にお使い下さい。
「関節軟骨再生にびんぼうゆすりが効果」
一昔前、人工関節が注目を集め始めた頃、関節軟骨が再生する事を否定するドクターの話をテレビで見掛ける事が有りました。更に再生医療が注目を集め出すと、関節の軟骨細胞を人工的に培養して移植する手術法が紹介されるなど、高齢化の進展と共に「関節軟骨」がメディアを通して話題に上る事が増えて来たように思います。 そしてここ数年、久留米大学、井上明生名誉教授の研究により、(主に股関節における)関節軟骨の再生が確認されると、その様子がまたテレビなどを通して紹介される機会が増えて来ました
原理としては関節腔内の関節液(滑液)を介して、振動刺激により数カ月~数年の経過の後、軟骨細胞が自己再生して行くと言う事のようです。
当院でも来院される患者さんを通して、膝関節などのリハビリを行った患者さんの多くが、実は関節可動域(ROM)の拡大や疼痛の除去に至る症例を多く診て来ましたので、関節軟骨が再生すると言う現象自体はそれほど驚くものでは有りませんでした。ただし、こうした手法には時間+回数を伴う事と何より患者さん御自身の努力が必要です。井上名誉教授が提示された時間は数カ月~年単位で1日2時間、びんぼうゆすり(ジグリング)で振動を加えると言う根気と努力を求められるものです。
当院では振動(ジグリング)マシンを御用意致しておりますので、診療の待ち時間などに効果的に振動刺激を受けて頂く事が可能です。機種により体調の変調を来す恐れが有る場合も有りますので、確認の上での御利用をお勧め致します。詳しくは御来院の際に、お尋ね下さい。
料金
| 接骨院 | 保険診療になります。 |
|---|---|
| 鍼灸治療 | 980円より。 |
| 美容鍼灸 | 1980円より。 |
| 酸素カプセル | 980円より。 |
| 骨密度測定 | 骨密度測定:200円/1回 |
| ウォーターマッサージベッド | 250円より。 |
| ハイボルテージ治療 | 300円より。 |
診療時間
| 診療時間 | 月 | 火 | 水 | 木 | 金 | 土 | 日・祝祭日 |
|---|---|---|---|---|---|---|---|
| 午前8:00~12:30 | ○ | ○ | ○ | ○ | ○ | ○ | × |
| 午後14:00~19:30 | ○ | ○ | ○ | ○ | ○ | × | × |
※急患の場合、時間外受付、往診も随時承っておりますので、ご連絡ください。
※保険証、ご住所等変更があった場合はお申し出ください。














